Bienvenidos. Este blog está dedicado a la Microbiología pero en general cualquier tema científico de interés tambien puede aparecer. El contenido de este blog es estrictamente científico y docente, por lo que no es un consultorio de salud. No estoy ni capacitado ni autorizado para responder a consultas de carácter médico-sanitario que expongan casos personales. Las imágenes que aparecen están sacadas de sitios públicos de la web y se indica su origen o basta cliquear sobre ellas para saberlo, pero si hay algún problema de copyright, por favor indicarlo en comentarios y se retirarán.

Para ir al blog de
PROBLEMAS DE MICROBIOLOGIA o al PODCAST DEL MICROBIO , pincha sobre el nombre.

También puedes ir al Blog de Innovación Docente

lunes, 31 de octubre de 2011

Películas y Bichos: "Contagio"

La semana pasada fui a ver la película "Contagio" con un par de colegas del trabajo, y debo decir que no nos defraudó. Aviso que voy a contar detalles del argumento, así que si el lector no la ha visto mejor que deje de leer ahora.



Primero, lo que no es "Contagio". No es una película de terror al estilo "REC" o "Resident Evil" en la que el virus te convierte en un zombie putrefacto. Tampoco es una película sobre una enfermedad incurable e intratable que puede exterminar al 99,9% de la humanidad como se ve en "Apocalipsis" o en la más reciente "Infectados". Ni tampoco vamos a ver infectados llenos de llagas purulentas y sangre. No, "Contagio" es un thriller médico al estilo de "Pánico en las calles" o "La amenaza de Andrómeda". El sello de Steven Soderbergh se nota en que la historia está contada en un estilo parecido a lo que hizo anteriormente con "Traffic" y el mundo de la droga. Se nos muestra una serie de historias paralelas cuyo nexo común es la epidemia causada por un virus muy contagioso y mortífero. Cada historia refleja una determinada faceta de como la sociedad actual podría hacer frente a una situación tan grave. Tenemos a la gente normal, a los médicos que intentan combatir la epidemia, a los científicos que tratan de descubrir como desarrollar una vacuna y a los políticos que toman decisiones que afectaran a millones de personas.



Lo mejor que tiene la película es que el aspecto científico está muy cuidado. Los gazapos que pillamos eran pequeños y parecían más el producto de un error de traducción al español que una metedura de pata a nivel científico. Por ejemplo, en una determinada escena Laurence Fishburne está viendo una estructura tridimensional de unas proteínas en un monitor y se refiere a ella como "el virus". En otra secuencia hablan del fracaso de multiplicar al virus en cultivos celulares porque "mata a las células". Supongo que se refieren a que el virus debe de provocar la apoptosis de las células en cultivo antes de haber conseguido terminar su multiplicación.



La secuencia que más me gustó es cuando Kate Winslet tiene que explicar a las autoridades civiles de Minneapolis el problema al que se enfrentan. En tan sólo 5 minutos les explica de manera clara y concisa lo que es la transmisión por fómites y lo que significa la R0. También me gustó mucho el homenaje al trabajo de Barry Marshall cuando demostró que Helicobacter pylori era la causante de las úlceras. Y por supuesto me gustó la forma en la que se muestra y desarrolla el trabajo de investigación científica para conseguir identificar, estudiar y al final vencer al virus. Incluso muestra la competencia entre el CDC y la OMS que llega a entorpecer los esfuerzos por controlar la epidemia.

La historia se desarrolla a lo largo de más de seis meses, desde el inicio de la infección hasta el desarrollo de una vacuna basada en el uso de un virus atenuado. La enfermedad causada por el virus MEV-1 (no tengo ni idea del porqué de esas siglas) es una afección respiratoria que puede derivar en una encefalitis vírica. Uno de los aciertos de Soderbergh es que la película huye de la truculencia. Las únicas secuencias "fuertes" son la muerte del niño o la autopsia de Gwyneth Paltrow, pero son pecata minuta si las comparamos con cualquier secuencia de un episodio de CSI. En cuanto a los efectos de la epidemia. La R0 del MEV-1 es de 2, como el virus de la gripe o el HIV, pero su tasa de mortalidad es del 20%. Para hacernos una idea, la tasa de mortalidad de la gripe de 1918 se estima entre un 10% y un 20%. Así que la epidemia es capaz de alterar por completo todo el sistema social: los sanitarios se declaran en huelga por miedo a la infección, la gente que ha sobrevivido a la enfermedad, o han sido vacunados, llevan una pulsera de identificación; se declara el estado de sitio para evitar los saqueos y pillajes, e incluso secuestros para conseguir medicamentos y vacunas.

Otro acierto de la película es mostrar el daño que pueden hacer la pseudociencia y los periodistas sensacionalistas. Tal y como reza el cartel, nada se esparce como el miedo. El personaje interpretado por Jude Law es el típico conspiranoico que hace un negocio a base de hacer creer a la gente que un remedio homeopático puede curarles de la enfermedad, y que todo es un complot de la industria farmacéutica y los gobiernos. A destacar el acierto de Soderbergh al mostrarnos el manido error de tratar dos cosas distintas como si fueran iguales en aras de una supuesta "imparcialidad" con el debate televisivo entre Jude Law y Laurence Fishburne, pues pone al mismo nivel a un charlatán y a un científico. Paradójicamente, el aspecto conspirativo de que el virus pueda haber sido diseñado artificialmente como un arma biológica también es tomada en serio por las autoridades sanitarias y militares en un principio de la película. Algo que no es de extrañar después de lo del caso Amerithrax.



¿Y cómo es el virus MEV-1? Pues es un producto de la imaginación de Ian Lipkin, un virólogo de la Universidad de Columbia, y del guionista Scott Burns. Lipkin se basó en la epidemia del SARS y lo creó como una fusión entre dos paramixovirus: el virus tipo Nipah (ya hemos hablado de él) proveniente de un murciélago, y un rubulavirus porcino. Dentro de los rubulavirus se encuentran virus como el de las paperas o el de la parainfluenza (paragripe) humana, que son bastante contagiosos. Burns insistió en que el virus debería de ser "creado" en la Naturaleza. Nada de armas militares ni conspiraciones. El MEV-1 es fundamentalmente un Nipah con una pequeña porción de rubulavirus. Pero esa fusión crea una proteína que le permite entrar fácilmente en las células humanas. En la película, el personaje Ian Sussman interpretado por Elliot Gould es un homenaje a Ian Lipkin.

Muy recomendable. Que paséis un buen Halloween



Esta entrada participa en el VI Carnaval de la Biología hospedado en Diario de un Copépodo.

Links relacionados:



"Miedo real", especial del programa radiofónico "Feedback" dedicado a la película.

lunes, 24 de octubre de 2011

No puedo creer que esto lo haya pintado una bacteria



A partir del facebook de la SEM he tenido noticia de esta historia que aparece en NatureBlogs. La imagen de arriba ha sido producida gracias a la colaboración establecida entre Simon Park, un microbiólogo de la Universidad de Surrey, y la acuarelista Sarah Roberts. Entre ambos han "enseñado" a la bacteria Serratia marcescens a pintar. No es la primera vez que hablamos de S. marcescens y el arte en este blog, e incluso hay una entrada dedicada a ella en el actual carnaval de la Biología. Pero esta vez la bacteria ha tenido una participación más activa.

La forma en que han conseguido el cuadro de arriba ha sido el siguiente: utilizaron una placa petri cuadrada de 20 x 20 cm y la llenaron con agar. Sarah Roberts eligió una serie de pigmentos - algunos eran tóxicos para la bacteria, otros en cambio eran tolerados o incluso asimilados por ella. Los pigmentos fueron dispuestos en círculos, después inocularon a la bacteria e incubaron la placa durante toda la noche. Al día siguiente se encontraron con el resultado de arriba. Donde la bacteria S. marcescens ha crecido sin problemas se ve el color rojo brillante de la prodigiosina. Pero la bacteria además se ha desplazado por la superficie del agar y en palabras de Park "ha escogido los pigmentos según sus deseos y caprichos". Sarah Roberts y Simon Park han probado con otro tipo de bacterias y pigmentos como podéis comprobar en la siguiente imagen:




El resultado obtenido hace visibles alguno de los aspectos del movimiento bacteriano: como es el agrupamiento (swarming), la comunicación intercelular e incluso el comportamiento coordinado. Park espera que esto pueda ayudar al público a entender qué son las bacterias y las maravillas que pueden realizar, y que no son sólo terribles patógenos causantes de enfermedades. La artista Sarah Roberts tiene un blog en el que uno puede contemplar alguna de sus otras obras pintadas con bacterias. Aquí os dejo unas cuantas:







Esta entrada participa en el VIII Carnaval de la Química hospedado en Caja de Ciencia y en el VI Carnaval de la Biología hospedado en Diario de un Copépodo.

viernes, 21 de octubre de 2011

¿Cómo protegerse frente a un virus como el de "Contagio"?



Todavía no he visto la película Contagio pero por lo que sé, la ciencia que hay detrás de ella es bastante buena. En el Facebook de la SEM y en el blog "La Microbiología en los Medios" ya hemos puesto unos cuantos enlaces a diversos artículos (aquí el del CDC). El caso es que el virus MEV-1 de la película está inspirado en los virus Hendra y Nipah, ambos pertenecientes al género Henipavirus que está dentro de la familia de los Paramixovirus. Es decir, está relacionado con virus como el de las paperas o el sarampión. 




Este tipo de virus presentan una envoltura lipídica y como material genético tienen RNA monocaternario de sentido negativo. El hospedador natural de estos virus son los murciélagos frugívoros, pero puede saltar a otras especies de mamíferos, incluyendo los humanos. Los síntomas iniciales son parecidos a los de la gripe, pero se agravan con el tiempo y pueden llegar a causar la muerte por fallo respiratorio, fallo renal, o por encefalitis. Se ha encontrado que algunas cepas de Nipah virus pueden transmitirse fácilmente por vía aérea. En el caso de brotes zoonóticos, su tasa de mortalidad oscila entre el 60 al 80%. El único tratamiento que se ha mostrado relativamente eficaz es la ribavirina (ver imagen abajo), que interfiere con la replicación del RNA viral aumentando su tasa de mutación. Sin embargo, en ensayos con animales este compuesto no se ha mostrado tan eficaz.


En un reciente artículo del Science Translational Medicine, un grupo investigador describe como  ha desarrollado un anticuerpo monoclonal que se ha demostrado efectivo en la neutralización del virus Hendra. Para probar dicho anticuerpo, los investigadores infectaron mediante administración intratraqueal a 14 monos verdes africanos con una dosis letal del virus. Este tipo de mono se utiliza como modelo experimental de la patología causada por estos virus. A 12 de ellos se les inyectó 100 mg del anticuerpo  monoclonal a diferentes tiempos Un grupo de cuatro a las 10 horas, otro a las 24 y otro a las 72. La dosis de anticuerpo se repitió a las 48 horas. Los monos no tratados murieron a los 8 días. De los tratados, sólo aquellos que lo fueron a las 72 horas mostraron síntomas neurológicos, pero se recuperaron a los 16 días después de la infección. Lo que han comprobado es que el anticuerpo causaba un descenso de los niveles de virus en sangre, y quizás eso es lo que permite al sistema inmune lidiar con el virus. Está claro que este tipo de anticuerpos puede ser una nueva arma en el arsenal antiviral.



Todas las imágenes provienen de la Wikipedia



Esta entrada participa en el VIII Carnaval de la Química hospedado en Caja de Ciencia y en el VI Carnaval de la Biología hospedado en Diario de un Copépodo.


ResearchBlogging.org

Rockx, B., Bossart, K., Feldmann, F., Geisbert, J., Hickey, A., Brining, D., Callison, J., Safronetz, D., Marzi, A., Kercher, L., Long, D., Broder, C., Feldmann, H., & Geisbert, T. (2010). A Novel Model of Lethal Hendra Virus Infection in African Green Monkeys and the Effectiveness of Ribavirin Treatment Journal of Virology, 84 (19), 9831-9839 DOI: 10.1128/JVI.01163-10


Bossart, K., Geisbert, T., Feldmann, H., Zhu, Z., Feldmann, F., Geisbert, J., Yan, L., Feng, Y., Brining, D., Scott, D., Wang, Y., Dimitrov, A., Callison, J., Chan, Y., Hickey, A., Dimitrov, D., Broder, C., & Rockx, B. (2011). A Neutralizing Human Monoclonal Antibody Protects African Green Monkeys from Hendra Virus Challenge Science Translational Medicine, 3 (105), 105-105 DOI: 10.1126/scitranslmed.3002901

viernes, 14 de octubre de 2011

Yemas de huevo y levaduras

Yema de huevo. Fuente de la imagen: Wikipedia .


A todo amante de los huevos fritos le gusta que la yema del susodicho sea de un color amarillo subido a naranja. De hecho asociamos la intensidad del color de la yema con la calidad del huevo. Así que es lógico que a cualquier productor de huevos lo que le interesa es que estos tengan unas yemas coloreadas comme il faut. Dicho color proviene principalmente de la luteina, un pigmento carotenoide muy abundante en diversos vegetales. Así que lógicamente, una forma de conseguir la coloración de las yemas es añadir en la dieta de las gallinas ponedoras algo con gran cantidad de pigmentos carotenoides como por ejemplo el maíz (que contiene zeaxantina) o extracto de pétalos de clavelón (Tagetes erecta).

Pigmentos carotenoides. De arriba a abajo: Luteina, Zeaxantina, Toruleno. Fuente de la imagen: Wikipedia .


Aunque también hay otras fuentes para pigmentos carotenoides además de lo extractos vegetales. Sí, son los microorganismos. Por ejemplo, el alga Dunaliella tan abundante en nuestras salinas. Aunque también puede obtenerse de hongos como Mucor circinelloides, o de la levadura Rhodotorula. Los microorganismos suelen ser muy atractivos porque crecen muy rápido, producen una gran cantidad de pigmento en relación al peso total, y se les puede crecer en un biorreactor en lugar de tener que plantarlos en el campo y esperar a cosecharlo. El mayor inconveniente es que los procedimientos de extracción de producto suelen ser algo más complicados que los utilizados con los vegetales, y además hay que tener cuidado de no utilizar cepas patógenas.


Parte superior: Colonias y células de Rhodotorula. Parte inferior. Producción de pigmentos en un cultivo de Rhodotorurla, a la izquierda curva de crecimiento, a la derecha producción de pigmento. Nótese que es un metabolito primario de tipo II. Fuente de las imágenes: colonias: Doctorfungus. Células: NCYC. Gráficas Schwartz and Margalith, 1965 .


Las levaduras del género Rhodotorula son muy atractivas como productoras de carotenos, aunque lo que producen sobre todo es el pigmento toruleno. Son ubicuas, crecen fácilmente y no son patógenas en condiciones normales. En el pasado congreso TIMM5 el profesor Xavier Cabañes del Departamento de Sanidad y Anatomía Animal de la UAB, nos contó un caso realmente curioso. En el año 1965 se publicó un trabajo que describía como crecer la levadura Rhodotorula mucilaginosa en grandes cantidades. Posteriormente se secaban las células y se añadía en el pienso en proporción de un 1 a un 2%. Con eso se conseguía obtener huevos con yemas bien coloreadas.


Dermatitis en pollos. Fuente de la imagen: Cortesia del profesor X. Cabañes, modificado a partir de Beemer et al. 1969 .


Pero en el año 1969 apareció un artículo que describía un gran brote de dermatitis producido por R. mucilaginosa en los pollos de una explotación avícola. Aunque no se discutía en el artículo, todo parecía indicar que las grandes cantidades de levadura añadidas al pienso eran las responsables de dicho brote. El caso es que ahora se utilizan cepas seleccionadas de la especie R. glutinis que producen fundamentalmente carotenos en lugar de toruleno. Y es que toda precaución es poca.





Esta entrada participa en el VIII Carnaval de la Química hospedado en Caja de Ciencia y en el VI Carnaval de la Biología hospedado en Diario de un Copépodo.


ResearchBlogging.org


Schwarz Y, & Margalith P (1965). Production of egg yolk coloring material by a fermentation process. Applied microbiology, 13 (6), 876-81 PMID: 5893694

Beemer, A., Schneerson-Porat, S., & Kuttin, E. (1970). Rhodotorula mucilaginosa Dermatitis on Feathered Parts of Chickens: An Epizootic on a Poultry Farm Avian Diseases, 14 (2) DOI: 10.2307/1588467

viernes, 7 de octubre de 2011

Prejuicios, anticonceptivos inyectables y HIV



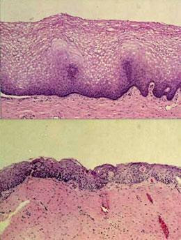
El pasado 4 de octubre la revista The Lancet Infectious Diseases publicó un artículo titulado "Uso de anticonceptivos hormonales y riesgo de transmisión del HIV: un estudio prospectivo". Los autores encontraron que el riesgo de transmisión y de infección prácticamente se duplicaba si se utilizaban anticonceptivos hormonales, sobre todo inyectables. La posible razón es que dichos anticonceptivos alteraban el epitelio vaginal y eso facilitaba la infección vírica.


Fotografía microscópica del epitelio vaginal humano durante la primera mitad del ciclo menstrual (arriba), cuando los niveles de estrógeno son altos y el epitelio es grueso. Durante la segunda mitad del ciclos (abajo) la progesterona es la hormona dominante y el epitelio vaginal es más delgado. Fuente Nature


Distintos medios de comunicación españoles se hicieron eco de la noticia aunque cada uno hizo su lectura particular de los resultados obtenidos. Al leer los distintos artículos me acordé de un viejo dicho que dice que no importa que el astrónomo sea de izquierdas o de derechas, la estrella sigue ahí brillando. Ciencia y prejuicios son incompatibles, pero los científicos somos seres humanos. Y está claro que cada uno tiene su propia ética.

El artículo del Lancet es un ejemplo de como esos prejuicios pueden causar un daño irreparable. Porque si hace diez años se hubieran hecho bien las cosas ese artículo nunca debería haberse escrito. En la sección de noticias de la revista Nature cuentan la historia. Resulta que hace 15 años ya se publicó un artículo en la revista Nature Medicine que demostraba que el uso de progesterona como anticonceptivo en hembras de macaco Rhesus multiplicaba por 7 el riesgo de infección por SIV (el homólogo del HIV en simios). Según declaraciones del doctor Preston Marx, primer firmante del trabajo de 1996, - No es que nosotros publicáramos nuestro trabajo en una revista desconocida. No hay ninguna excusa para la gente que trabaja en anticonceptivos para que no conociera esto y para que no hubieran hecho algo a finales de los 90. Deberíamos haber sabido que ocurría en humanos hace 10 años. En opinión de Preston Marx, los expertos en salud pública eran hostiles a dichos resultados porque no querían saber nada de que un método anticonceptivo barato, accesible y popular en los países en desarrollo podía tener efectos adversos en la salud. En su lugar prefirieron matar al mensajero e incluso llegaron en un congreso a acusar al grupo investigador de manipular los resultados. También se ignoraron los resultados de un estudio prospectivo realizado en el 2008 con 1.500 prostitutas (sex-workers) en Kenya.


Efectos potenciales de las hormonas esteroides en la mucosa vaginal. (A) El tratamiento sistémico o tópico con estrógeno provoca un engrosamiento del epitelio vaginal en macacos ovarioectomizados. El engrosamiento del epitelio puede interferir con el acceso del HIV a sus células objetivo (Células de Langerhans, células T, y macrófagos subepiteliales). El estrógeno disminuye la frecuencia de células de Langerhans (LC) en el epitelio y baja el pH cervicovaginal, lo que hace que el ambiente sera hostil para el virus. (B) En los macacos hembras tratados con progesterona el epitelio es mucho más delgado, lo que facilita el acceso del virus a las células diana. El efecto de la progesterona en el epitelio femenino humano parece ser menor que en macacos, pero también produce su disminución. Además, también causa cambios en la microbiota vaginal, sobretodo la disminución de las poblaciones de Lactobacillus, lo que facilita la colonización por otros patógenos como Candida, gonococos o clamidias. Fuente: Hetz et al.


Como era de esperar, los expertos en salud pública y los epidemiólogos ven las cosas de distinta manera. En opinión de Mary Lyn Gaffield la epidemióloga de la OMS responsable de planificación familiar, los estudios de los años 90 tienen "limitaciones metodológicas". Para ella el perfil de riesgo de las prostitutas es diferente del de la población general y podría haber factores que provocaran confusión en las conclusiones, como es el uso de condones o la poca fiabilidad de las respuestas por parte de las prostitutas. Pero algunos han cambiado de opinión. El inmunologo Zdenek Hel de la Universidad de Alabama, era el primer autor de una revisión del 2010 sobre si los anticonceptivos aumentaban la vulnerabilidad de las mujeres a la infección por HIV. En dicho trabajo se decía que la cuestión era "muy controvertida" y que los datos eran "inconcluyentes" y que por lo tanto se necesitaban más trabajos. Ahora, Hel opina del nuevo estudio que puede reflejar un fenómeno biológico real e importante y debe de tomarse en cuenta seriamente. Este podría ser el estudio epidemiológico concluyente que todo el mundo esperaba

La conclusión de los autores del trabajo publicado en The Lancet es que se confirman los resultados anteriores y que se debería de avisar a todas las personas que utilizaban dichos métodos anticonceptivos de los riesgos asociados y de que utilicen condones como una protección dual para disminuir el riesgo de infección por HIV. Por eso opino que si ese consejo se hubiera dado a finales de los 90, este artículo no se habría publicado.

Realizado a partir de la noticia aparecida en Nature News.


Esta entrada participa en el VI Carnaval de la Biología organizado por Diario de un copépodo

ResearchBlogging.org
Marx, P., Spira, A., Gettie, A., Dailey, P., Veazey, R., Lackner, A., Mahoney, C., Miller, C., Claypool, L., Ho, D., & Alexander, N. (1996). Progesterone implants enhance SIV vaginal transmission and early virus load Nature Medicine, 2 (10), 1084-1089 DOI: 10.1038/nm1096-1084
Hladik, F., & McElrath, M. (2008). Setting the stage: host invasion by HIV Nature Reviews Immunology, 8 (6), 447-457 DOI: 10.1038/nri2302
Hel, Z., Stringer, E., & Mestecky, J. (2009). Sex Steroid Hormones, Hormonal Contraception, and the Immunobiology of Human Immunodeficiency Virus-1 Infection Endocrine Reviews, 31 (1), 79-97 DOI: 10.1210/er.2009-0018
Heffron R, Donnell D, Rees H, Celum C, Mugo N, Were E, de Bruyn G, Nakku-Joloba E, Ngure K, Kiarie J, Coombs RW, Baeten JM, & for the Partners in Prevention HSV/HIV Transmission Study Team (2011). Use of hormonal contraceptives and risk of HIV-1 transmission: a prospective cohort study. The Lancet infectious diseases PMID: 21975269

domingo, 2 de octubre de 2011

TIMM-5



Hoy a dado comienzo el 5º congreso Trends in Medical Mycology en el Palacio de Congresos de la ciudad de Valencia. Como me toca presentar un póster he estado un poco liado estos días pasados. En este primer día he asistido a las charlas sobre la epidemiología de los hongos y las levaduras que causan micosis invasivas, aunque lo más interesante ha sido el workshop dedicado a las levaduras patógenas emergentes. Se ha hablado de cuatro géneros: Trichosporon, Geotrichum, Rhodotorula y Saccharomyces cereviseae



Y es que nuestra vieja amiga en determinadas situaciones puede convertirse en un patógeno oportunista muy fastidioso. La doctora Amparo Querol ha presentado un trabajo en el que ha comparado cepas industriales de S. cereviseae con cepas clínicas patógenas. Y su grupo ha encontrado cosas bastante curiosas, Por hacer un resumen: las patógenas pueden crecer a 42º, producen un montón de enzimas sobre todo fosfolipasas, y tiene activados los genes que la protegen del strees oxidativo, algo muy importante si te diseminas a través del sistema sanguíneo.

jueves, 22 de septiembre de 2011

Buscando a la Muerte Negra



                                 Yo soy la muerte cierta a todas las criaturas
                                 que son y serán en el mundo durante
                                 Demando y digo: Oh hombre ¿Por qué curas
                                 de vida tan breve en punto pasante?


El texto pertenece a la “Danza de la Muerte”, un texto anónimo del siglo XV basado en las representaciones macabras del XIV. La ilustración es un dibujo de 1493 realizado por Michael Wolgemut. Fuente: Wikipedia.


En el año 1347 llegó a Europa occidental la peste. No era la primera vez que esta enfermedad llegaba a Europa. La que está considerada como la primera pandemia de peste, la peste de Justiniano, afectó al Imperio Romano Oriental entre los años 541 y 542, aunque perduró hasta el 750. Pero esta segunda pandemia fue muchísimo más devastadora. Cuatro años después la población europea había pasado de 75 a 50 millones. Es decir, la Muerte Negra había acabado con un tercio de la población. Europa no fue el único territorio afectado. Se estima que China perdió la mitad de su población, mientras que en África del Norte, con una menor densidad de población, afectó tan solo a un octavo. El último brote de esta pandemia en Europa ocurrió en el año 1720 en la ciudad de Marsella. La tercera pandemia de peste comenzó en China a comienzos del XIX y aún permanece con nosotros. Es la responsable de los últimos brotes que aparecen de vez en cuando en las noticias.


Difusión de la Peste negra. En verde, las áreas de menor incidencia, en rojo las de mayor. Fuente: Wikipedia.


La peste es causada por la bacteria Yersinia pestis, y se han asociado tres biovariedades a las tres pandemias. Así, la peste de Justiniano fue causada por la biovar Antiqua, la Muerte Negra por la biovar Medievalis y la tercera pandemia por la biovar Orientalis. Estas biovariedades todavía están presentes en reservorios animales como ratas y marmotas. La biovar Antiqua se encuentra en África y Asia Central, la biovar Medievalis en Asia Central y la biovar Orientalis está muy diseminado por todo el globo.

La Muerte Negra fue tan terrible y virulenta que muchos han pensado que quizás el patógeno causante fue otro distinto a Yersinia pestis. Trabajos anteriores habían encontrado DNA de la bacteria Yersinia pestis en restos humanos de víctimas de la peste, pero también se encontraron que las secuencias de las bacterias medievales mostraban un filogenia única distinta de las biovariedades actuales.


Excavación mostrando los esqueletos de los que se tomaron las muestras. A la derecha, detalle de los dientes uno de los cráneos. Fuente: Schuenemann et al.


Con esa idea en la cabeza un grupo de investigadores de diversos países han realizado un estudio paleopatológico para caracterizar al responsable de la terrible enfermedad. Para ello han muestreado 109 muestras (huesos y dientes) provenientes de esqueletos de víctimas de la peste enterradas en una fosa común en Londres utilizada entre 1348-1350. Como control negativo han usado restos humanos de una época anterior a la llegada de la peste. Gracias a las nuevas tecnologías de amplificación y secuenciación del DNA han conseguido reconstruir 10 genomas mitocondriales humanos (16 kb cada uno) y un plásmido de virulencia pPCP1 de 9.6 kb que sólo se encuentra en Yersinia pestis. El plásmido pPCP1 codifica para un factor de virulencia, la proteasa Pla un activador de plaminógeno, esencial para la patología pneumónica. También han detectado otras secuencias pertenecientes a otros plásmidos de virulencia específicos de dicha bacteria. La reconstrucción de los genomas mitocondriales humanos era una forma de control interno para excluir contaminación exógena pues estos presentaban un determinado patrón de degradación característico del DNA antiguo. De esa forma se han asegurado de que el plásmido y los genes amplificados eran de origen medieval, y no de origen moderno.


Secuencias encontradas en la Y. pestis medieval. PCR cuantitativo del locus cafM1 (codifica para una chaperona) del plásmido de virulencia pMT1. (B) Secuencia cromosómica del gen s19 que muestra dos sustituciones sinónimas en el gen de la Helicasa II (C) Alineamiento consenso de los genes del plásmido pPCP1 medieval comparado con las 14 variantes modernas. Los genes son rop, proteína reguladora de la replicación del plásmido, pim, proteína de inmunidad de la pesticina; pst, pesticina, una bacteriocina; pla, gen del activador del plasminógeno. (D) Alineamiento de la secuencia consenso del pPCP1 de la Y. pestis medieval en uno de los puntos en que es distinta a las 14 variantes modernas. Fuente: Schuenemann et al.


La investigación genética de los microbios patógenos de tiempos pasados puede rendir una gran cantidad de datos que permitan dilucidar como coevolucionan la patogenicidad y la resistencia o susceptibilidad de los hospedadores. Esos datos pueden servir como modelo para estudiar y predecir el comportamiento de nuevos patógenos emergentes.


Esta entrada participa en el Biocarnaval de Verano que se celebra en ¡Jindetrés, sal!.

Agradecimientos a Victor Jimenez por avisarme de la publicación de este artículo.

ResearchBlogging.org
Schuenemann, V., Bos, K., DeWitte, S., Schmedes, S., Jamieson, J., Mittnik, A., Forrest, S., Coombes, B., Wood, J., Earn, D., White, W., Krause, J., & Poinar, H. (2011). PNAS Plus: From the Cover: Targeted enrichment of ancient pathogens yielding the pPCP1 plasmid of Yersinia pestis from victims of the Black Death Proceedings of the National Academy of Sciences, 108 (38) DOI: 10.1073/pnas.1105107108

domingo, 18 de septiembre de 2011

El caso de la bacteria-Jekyll y Mr. Hide

Fuente de la imagen: Allposters .


Uno de los más típicos argumentos del cine de terror es el del científico, bien porque está loco o por accidente, coge a un animal doméstico y lo transforma en un mutante sanguinario devora humanos. Bueno, pues algo parecido puede leerse en un reciente artículo publicado en la revista mBio, pero los científicos que lo han hecho no tienen nada de locos, sino todo lo contrario.

La cepa K-12 de Escherichia coli es una bacteria muy utilizada en los laboratorios. Puede afirmarse que este comensal intestinal aislado hace unos 100 años está domesticado y ya no puede sobrevivir en su hábitat original. Si se le reintroduce en el intestino humano se queda fuera de las células incapaz de hacer ningún daño. Parece difícil pensar que es la misma especie biológica en la que se encuentran la tristemente famosa E. coli enteroinvasiva que tantas muertes causó recientemente. Generalmente, esas diferencias de comportamiento se explican por grandes cambios genéticos por transferencia horizontal. Así en el caso de las EHEC suelen verse implicados fenómenos de lisogenia.

Pero el grupo del Instituto de Medicina Molecular de Nueva Delhi liderado por la doctora Sudeshna Kar ha encontrado que basta realizar un pequeño cambio genético para que la cepa K-12 se convierta en un parásito intracelular con una gran capacidad invasiva. Se trata de cambiar un par de aminoácidos en una proteína parecida a histonas llamada HU (Histone-Like HU proteins). En concreto el glutámico de la posición 38 por una lisina, y la valina de la posición 42 por una leucina.


A la izquierda una célula intestinal invadida por la cepa mutante SK3842 (cuerpos oscuros redondos). A la derecha una célula con bacterias de la cepa parental en el exterior. Fuente de la imagen: Koli et al. No, no es una broma. El primer autor del artículo se llama Preeti Koli.


La HU es una proteína que, como las histonas de los eucariotas, se une al DNA y modula su arquitectura macromolecular mediante el control de su superenrrollamiento. En el año 2005 Kar y sus colaboradores consiguieron este mutante para estudiar el efecto del cambio de superenrrolllamiento en la expresión de los genes bacterianos. Lo que encontraron es que la proteína HU mutante se disponía formando octámeros en lugar de dímeros, y que esos octámeros superenrrollaban al DNA de mannera positiva (lo normal es que el superenrrollamiento sea negativo). Eso causaba una mayor compactación cromosómica. Pero además vieron que en el mutante se afectaba tanto su perfil de transcripción genética, su fisiología en incluso la morfología celular. Los mutantes se habían transformado en cocos.

(A) Estructura tridimensional de un dímero de la proteína HU unida al ADN visto de frente y perfil. (B) Superenrrollamiento del DNA (espiral gris) alrededor de las moléculas de HU (cilindros rojos). Fuente de la imagen: Anne Grove.


Una de las cosas que más les llamó la atención es que la expresión de genes de virulencia crípticos se veía activada. Se les ocurrió entonces comparar el comportamiento del mutante con su cepa parental cuando ambas eran crecidas en presencia de células intestinales. Y ahí es donde se encontraron con la sorpresa. En una situación similar a la del Dr Jekyll y Mr Hide, la inocua cepa parental se había transformado en una bacteria parásita. El mutante era capaz de penetrar en las células, de liberarse del fagosoma, de reproducirse intracelularmente y de desactivar la apoptosis de la célula hospedadora para así permitir a la bacterias tiempo para infectar nuevas células de las capas internas intestinales. Este trabajo indica que E. coli podría cambiar su estilo de vida dependiendo de su relación con las células hospedadoras simplemente mediante una reprogramación de su transcripción celular y sin que se necesiten grandes cambios genéticos.


Imágenes de fluorescencia que muestran los cambios del citoesqueleto en células infectadas por la cepa mutante SK3842 (i) Tiempo 0 minutos, (ii) Tiempo 5 minutos (iv y v) Tiempo 30 minutos. En los cuadros pequeños puede observarse la reorganización del citoesqueleto alrededor de las células bacterianas invasoras. Fuente de la imagen: Koli et al..




Esta entrada participa en el Biocarnaval de Verano que se celebra en ¡Jindetrés, sal! y en el VII carnaval de la Química que se celebra en FeelSynapsis.


La misma historia en el blog "Microbichitos" de Miguel Vicente, y en "Small Things Considered de Moselio Schaechter.

ResearchBlogging.org
Koli P, Sudan S, Fitzgerald D, Adhya S, & Kar S (2011). Conversion of Commensal Escherichia coli K-12 to an Invasive Form via Expression of a Mutant Histone-Like Protein. mBio, 2 (5) PMID: 21896677

miércoles, 14 de septiembre de 2011

Premios Bitácoras 2011

Como nunca viene mal algo de publicidad he presentado este blog a los premios Bitácoras 2011 en la categoría de Blogs de Ciencia. A a todos aquellos lectores que me voten, muchas gracias por adelantado. El voto lo podéis realizar pulsando el botón que tenéis a vuestra derecha. También he presentado al premio al mejor podcast a "El podcast del microbio". Así que si creéis que se lo merece, pasaros por allí para votar (aquí solo se puede votar por "Curiosidades") Fuente de la imagen: PHDCOMICS

miércoles, 24 de agosto de 2011

La cerveza lager: una fusión en frío


Fuente de la imagen: Wikipedia.


ACTUALIZADA el 30 de septiembre de 2015 (ver abajo)

Uno de los mejores placeres del verano es tomarse una cerveza bien fresquita sentados en una terraza y disfrutando del tiempo libre. Fueron los sumerios los que hace unos 6.000 años comenzaron a fabricar el preciado líquido gracias a la inestimable colaboración de las levaduras. Desde entonces la cerveza ha ido siempre asociada a la civilización, así que si se extendía una, también lo hacia la otra. Como es lógico, a lo largo de la historia de la humanidad han ido apareciendo diferentes variantes de la cerveza.

Probablemente la variante cervecera más famosa es la lager, la típica cerveza rubia que consumimos por estas tierras. Su origen es alemán, de la zona de Baviera, y se remonta al siglo XV. Tiene ese nombre porque se producía en los lagares o bodegas. Su merecida fama comenzó a consolidarse en el siglo XIX.


Levadura de baja fermentación: homebrewtalk.


La aparición de la lager supuso una revolución en la producción de cerveza. Hasta ese momento, las cervezas europeas se producían mediante un "fermento" que se disponía en la superficie del barril y que necesitaba una temperatura templada para crecer (unos 20ºC). Pero el fermento de las lager se disponía en el fondo del barril y podía crecer a temperaturas más bajas (10º C). Por eso a las primeras se las conoce como cervezas de alta fermentación (como las altbier o las ale británicas) mientras que a las lager se las conoce como cervezas de baja fermentación. En el sabor, las lager son menos dulces que las ale. Pero eso no era todo. Una ventaja de las lager es que podían elaborarse en las bajas temperaturas de lugares fríos y húmedos como las bodegas y se estropeaban mucho menos que las ale. Una razón era la baja temperatura, pero otra era que el fermento "bajo" era capaz de acabar con todo el azúcar presente en la malta.

Hubo que esperar hasta Pasteur para comprender que la fermentación de la cerveza era un proceso microbiológico. Como es natural todos los productores de cerveza se interesaron por identificar las levaduras responsables de la elaboración de sus respectivos productos. En 1883 es cuando nuestra vieja conocida, la levadura Saccharomyces cerevisiae, fue identificada por Emil Christian Hansen que trabajaba para los laboratorios Carlsberg (aunque fue Franz Meyen en 1830 el que demostró que el "fermento" era un hongo). El propio Hansen fue el primero en observar que la levadura de las cervezas lager era criotolerante y distinta de las levaduras de las otras cervezas, por lo que propuso denominarla Saccharomyces carlsbergensis (actualmente es S. pastorianus).


Emil Christian Hansen. Fuente de la imagen: Carlsberg Group.


¿Y de dónde proceden todas estas levaduras domesticadas? Pues en principio de la Naturaleza. Por ejemplo, pueden aislarse cepas de Saccharomyces cereviseae silvestre a partir de corteza de robles (género Quercus, família Fagaceae, orden Fagales). Y lo mismo puede decirse para otras levaduras del género Sacharomyces. Pero había una excepción bastante notable: no se conseguía aislar a S. pastorianus del medio natural. Esta levadura dependía enteramente de los humanos para su propagación. Al analizar su genoma se descubrió que era un híbrido allotetrapolide producido por una fusión entre S. cereviseae y una especie de levadura desconocida.

En primer lugar se pensó que el ancestro desconocido debía de ser alguna otra levadura criotolerante. Los candidatos más probables eran S. bayanus y S. uvarum. Pero resulta que S. bayanus es un híbrido de S. uvarum con la especie desconocida. Y esa especie es la que han encontrado un grupo de científicos liderados por el investigador José Paulo Sampaio de la Universidad Nova de Lisboa.

Lo que han hecho ha sido buscar levaduras criotolerantes en otros hábitats similares a aquellos en los que crece Saccharomyces, tanto en el hemisferio norte como en el hemisferio sur. En el hemisferio sur, el árbol que ocupa el nicho ecológico del roble es el grupo de las hayas del sur pertenecientes al género Nothofagus (familia Nothofagaceae, orden Fagales). Estos árboles son muy abundantes en los bosques de la Patagonia, una región con una media de temperaturas de 6/8 ºC, con un mínimo de -1/-2 ºC y un máximo de 22/23 ºC. Una condiciones muy favorables para los criotolerantes.


Lenga, Nothofagus pumilio. Fuente de la imagen: Wikipedia.


Entre los distintos aislados se encontraron con dos nuevas especies de levaduras asociadas con distintos tipos de árboles. Una de ellas se aislaba preferentemente en el ñire (Nothofagus antarctica) y la lenga (N. pumilio). Tras ser analizada genéticamente, los investigadores encontraron que esa nueva especie era el ancestro de S. pasturianus y de S. bayanus que buscaban. Por eso la han bautizado como Saccharomyces eubayanus (el prefijo eu significa "verdadero").



Modelo de la formación de S. pastorianus y las cepas híbridas de S. bayanus. Explicación más detallada en el texto. Fuente de la imagen: Libkind et al..


Los investigadores han propuesto el siguiente modelo para explicar la domesticación de la levadura cervecera S. pasteurianus. En algún momento del pasado una célula de S. cerevisiae se fusionó con otra de S. eubayanus y dio lugar al alotetraploide que conocemos como S. pasteurianus. La nueva levadura crecía mucho mejor a baja temperatura y fermentaba correctamente la malta. Los maestros cerveceros de aquella época comenzaron a domesticar el nuevo fermento buscando una mejor producción de cerveza. Pero la domesticación supuso una fuerte presión de selección. Poco a poco la nueva levadura fue cambiando y adaptándose a las nuevas condiciones. Así algunos cromosomas de S. cerevisiae se fusionaron con los de S. eubayanus (cromosomas naranjas y amarillos en la figura). La más llamativa es la fusión del brazo derecho del cromosoma VII de S. eubayanus a secuencias subteloméricas del brazo derecho del cromosoma VII de S. cerevisiae que contiene el gen IMA1. Este gen codifica para la isomaltasa, una enzima que cataliza la ruptura del disacarido isomaltosa. De esa forma, el híbrido puede procesar de manera más eficaz los azúcares presentes en la malta.

Otro cambio que sucedió durante la domesticación fue la inactivación de los genes SUL1 y la mayor expresión de los genes SUL2. Estos genes son responsables del transporte de sulfato. Y el sulfato es el precursor del sulfito, un compuesto antioxidante y estabilizante del sabor y el aroma. En las cepas cerveceras, la expresión de SUL2 aumenta la producción de sulfito.

Pero ahí no acaba la historia de aparición de nuevas especies. Antiguamente no se conocía la importancia del cultivo puro de microorganismos. La cerveza debía de contener múltiples especies de distintas levaduras. En algún momento una célula de S. eubayanus debió de adquirir mediante un proceso de transformación genética un gran fragmento de DNA de S. pasteurianus. Esta S. eubayanus transformada podría medrar como un contaminante más de la cerveza. Y esta nueva cepa debió de hibridar con la levadura S. uvarum dando lugar a la especie S. bayanus.

Ahora queda por contestar la pregunta ¿Cómo llegó S. eubayanus a Alemania?. Los autores indican dos posibilidades. O bien que esa levadura esté presente en algún nicho ecológico del hemisferio norte. Pero la creen poco probable ya que por ahora no se la ha encontrado, y eso que se llevan aislando levaduras de manera intensiva desde finales del siglo XIX. La otra posibilidad es que S. eubayanus llegara a Europa gracias al comercio transoceánico.

¿Es eso posible?. Los autores del artículo no dedican ni una línea a defender dicha posibilidad. El principal problema de dicha hipótesis es que la lager apareció en el siglo XV, no en el XVI. Un siglo antes de que hubiera presencia hispana en la Patagonia. Pero, ya que estamos en verano, yo me voy a lanzar a la piscina. La Patagonia fue descubierta por Americo Vespucio en 1502, aunque quienes realizaron una exploración algo más intensiva fue la expedición de Magallanes de 1520. Hay que esperar hasta el 9 de marzo de 1535 para que Simón de Alcazaba y Sotomayor, por mandato de Carlos I, fundara Nueva León (a 29 kilómetros al sur de la actual localidad de Camarones) que fue el primer intento de fundar una población estable en la Patagonia. Hacia 1550 podríamos decir que ya hay presencia española constante por debajo del paralelo 35º, el límite superior de la latitud Sur para los árboles pertenecientes al género Nothofagus.

Carlos I de España y V de Alemania gobernó entre 1516 y 1566. De todos es conocido que era un gran amante de la cerveza, y se la hacía traer desde Flandes y sus posesiones alemanas. 1516 también es famoso porque es el año de promulgación de la famosa Ley de la Pureza de la Cerveza en Baviera. En 1546, los bávaros se comprometieron firmemente con Carlos I en su lucha contra los protestantes. No es descabellado pensar que madera proveniente de algún ejemplar de Nothofaga fuera colectado en América del Sur, llevado hasta España para hacer barriles y que de allí acabara en Baviera almacenando cerveza. Y así tendríamos a S. cerevisiae junto a S. eubayanus.

¿Y la cerveza lager del siglo XV? Pues me apuesto pincho de tortilla y caña a que era diferente que la lager del XVI y que las levaduras de esa cerveza fueron "desplazadas" por S. pasteurianus durante el proceso de domesticación. Ya veremos que dicen los futuros artículos dedicados al tema.



ACTUALIZACION. En mayo de 2014 se publicó un artículo en el que se habían aislado cepas de S. eubayanus en la meseta tibetana. El análisis genético indicaba que esas levaduras tenían mayor relación de parentesco con la levadura de la cerveza lager. Si se confirma el resultado esto querría decir que la levadura cervecera seguramente llegó a Europa gracias a la ruta de la seda.

Esta entrada participa en el Biocarnaval de Verano que se celebra en ¡Jindetrés, sal! y en el VII carnaval de la Química que se celebra en FeelSynapsis.




ResearchBlogging.org

Libkind, D., Hittinger, C., Valerio, E., Goncalves, C., Dover, J., Johnston, M., Goncalves, P., & Sampaio, J. (2011). Microbe domestication and the identification of the wild genetic stock of lager-brewing yeast Proceedings of the National Academy of Sciences DOI: 10.1073/pnas.1105430108

jueves, 11 de agosto de 2011

Microbichitos, el blog-fenix de la Microbiología




Todos los interesados en la Microbiología conocemos el blog "Esos pequeños bichitos" escrito por el investigador Miguel Vicente. Sin embargo desde hacía algún tiempo no se actualizaba y parecía inactivo. Hasta que la semana pasada anunció su cierre. Pero afortunadamente el blog no ha muerto. Ha resurgido de sus cenizas y ahora será publicado dentro de los blogs de ciencia de "El País", aunque con un cambio de nombre. Comienza la andadura de "Microbichitos" y desde aquí os animo a todos, no a que le echéis un vistazo, sino a que lo leáis con mucha atención.

martes, 19 de julio de 2011

¿Y si todavía está ahí?



Antes de seguir leyendo ¿sabes qué es lo que está fotografiado arriba?

Si has pensado en un fósil no vas desencaminado. Pero no es uno muy antiguo, sino todo lo contrario. Data de 1876.

El pasado mayo, la Sociedad Histórica de Virginia inauguró una exposición titulada Bizarre Bits dedicada a mostrar los "extraños pedazos" de su variada colección de objetos históricos. Entre ellos se encontraba un puro del presidente confederado Jefferson Davis, un hongo tallado representando al general Lee en su caballo y una corona trenzada con pelo humano

Pero lo que ha llamado más la atención son los pequeños restos fotografiados en la cabecera de esta entrada. Estaban en el interior de una carta escrita en 1876, en la cual se describía lo que eran. Un científico que visitó la exposición la leyó e inmediatamente se fue a un teléfono. A los pocos días aparecieron en el museo dos personas con mascarillas y guantes que abrieron la vitrina, recogieron los restos y los metieron en una bolsa con el símbolo de "Biohazard" impreso en cinta roja. Inmediatamente partieron para el CDC de Atlanta.

Los restos que contenía la carta eran de una costra para ser usada en el procedimiento de vacunación de la viruela que se estilaba en el siglo XIX. En la carta se puede leer

"Querido Pa, la pieza que adjunto es perfectamente fresca y fue tomada ayer del brazo de un niño... El Dr Harris dice que la costra puede ser usada para vacunar a 12 personas, pero si quieres más, tienes que enviar a alguien. La he clavado con un alfiler para que no la pierdas como te paso la otra vez"




La costra fue analizada en los laboratorios de Bioseguridad 4 en el CDC y se comprobó que no contenía virus de la viruela, pero sí que contenía el virus de la vacuna. En cierto sentido reavivo el temor de que el virus de la viruela todavía pueda estar presente, y activo, en alguna "reliquia histórica" que de vez en cuando se encuentra.


Fuente de la noticia y de la imagen superior: Wall Street Journal

Fuente de la imagen de la pústula de la vacuna: Gefor

Esta entrada participa en el Biocarnaval del Verano cuyo anfitrión es Marimarus Blog

lunes, 18 de julio de 2011

Donde he estado estos días



El XXIII Congreso Nacional de Microbiología de la SEM ha sido la razón principal del parón en las entradas del blog. Los días previos estuve liado con la preparación de mi exposición, y los días del congreso pues se pasaron entre charlas por la mañana, ver posters por la tarde e irse de cañas y tapas por la noche. Intentaré realizar algún pequeño resumen en una entrada posterior, aunque hoy comentaré aquello en lo que estuve más involucrado.

Se estableció formalmente el Grupo de Docencia y Difusión de la Microbiología con el nombramiento de los miembros de la Junta Directiva y de los grupos de trabajo. Entre las diversas iniciativas propuestas se decidió establecer un "Facebook" y un canal "Twitter". Así que estáis invitados a visitarlos.

viernes, 1 de julio de 2011

La peste bovina ha sido erradicada



Junio 2011 ha pasado, y con el mes, también ha concluido el plazo para considerar erradicada a la peste bovina. El pasado 28 de junio la FAO adoptó una resolución en la que se declara la erradicación mundial de la enfermedad.

No ha habido mucho ruido ya que los medios de comunicación habían adelantado la noticia desde hace bastante tiempo. En este blog ya comentamos el tema en diciembre de 2009 sin ir más lejos.

La resolución también pide a la comunidad mundial que se dé seguimiento asegurando la conservación de muestras de virus de la peste bovina y sus vacunas en condiciones seguras de laboratorio, y se apliquen las rigurosas normas de vigilancia y notificación de la enfermedad. Es decir, algo muy parecido a lo que ocurre con los stocks de viruela. Mejor tenerlos guardados y seguros a destruirlos completamente y quedarnos sin posibilidad de hacer nuevas vacunas.

Una buena forma de empezar julio.

viernes, 24 de junio de 2011

¿Quién vive en la piña debajo del mar... y en los bosques de Borneo?


Fuente de las imágenes: Wikipedia.


Pues sí, el amigo Bob Esponja acaba de ser inmortalizado en la taxonomía biológica. Aunque no como un porífero sino como una seta. Spongiforma squarepantsii es una especie de hongo perteneciente a la familia Boletaceae y que se ha encontrado en los bosques del Parque Nacional de las colinas de Lambir en Borneo.

Dennis E. Desjardin, del Departamento de Biología de la Universidad Estatal de San Francisco le puso ese nombre por el aspecto de su cuerpo fructífero, porque la superficie productora de esporas de dicho cuerpo le recordó al fondo del mar cubierto de esponjas y también porque se comporta como dice la canción: Su cuerpo amarillo absorbe sin más.... Y es que Spongiforma squarepantsii puede absorber agua y si la estrujas la expulsa y vuelve a su forma original. Desjardin comenta que esa propiedad es muy rara en los hongos.



Esporas de Spongiforma squarepantsii. Fuente de la imagen: Physorg.


Esta entrada participa en el V carnaval de la Biología que se celebra en FeelSynapsis.

ResearchBlogging.org

Desjardin DE, Peay KG, & Bruns TD (2011). Spongiforma squarepantsii, a new species of gasteroid bolete from Borneo. Mycologia PMID: 21558499